네비게이션 임플란트

네비게이션 임플란트

회복기간 단축 자가혈이식 임플란트

컴퓨터 분석을 이용한

네비게이션 임플란트

네비게이션 임플란트란?

임플란트 많이 심어야 한다는데 심을 때 아프고 시간이 오래 걸릴 까봐 걱정이세요?

365서울탑플란트치과는 디지털네비게이션 임플란트를 시행합니다. 3차원 CD-CT 촬영을 통해 얻어진 데이터를 통해 어떤 위치에 임플란트를 심을지 시뮬레이션을 진행해 계획한 위치에 수술이 잘 이루어질 수 있도록 합니다.

네비게이션 임플란트를 선택하는 이유

일반 절개는 절개 부위가 많아 회복이 느리고, 출혈, 부종, 염증에 위험이 높습니다.

반면, 네비게이션 임플란트는 최소 절개로 안전하고 성공적인 임플란트 식립이 가능합니다.


BENEFIT 네비게이션 임플란트의 장점



01.


03.


치료기간 단축

여러 개의 임플란트도 한번에 수술이 가능

회복기간 단축

잇몸 절개를 줄여 전체적인 회복기간 단축

02


04.


통증 최소화

비절개 혹은 최소절개 방식으로 진행하여 수술 후 붓기 및 통증감소

높은 안전성

고혈압, 당뇨 등의 전신 질환이 있는 경우에도 안전한 수술 가능


※ 365서울탑플란트치과의원에서는 보다 정확하게 출혈과 통증을 최소화하고 좋은 치료 결과를 위해 

네비게이션 임플란트를 시행하고 있습니다.


01

치료기간 단축

여러 개의 임플란트도 한번에 수술이 가능


02

임플란트 회복 가능성

비절개 혹은 최소절개 방식으로 진행하여 수술 후 붓기 및 통증감소


03

회복기간 단축

잇몸 절개를 줄여 전체적인 회복기간 단축


04

높은 안전성

고혈압, 당뇨 등의 전신 질환이 있는 경우에도 안전한 수술 가능

네비게이션 임플란트 수술 과정

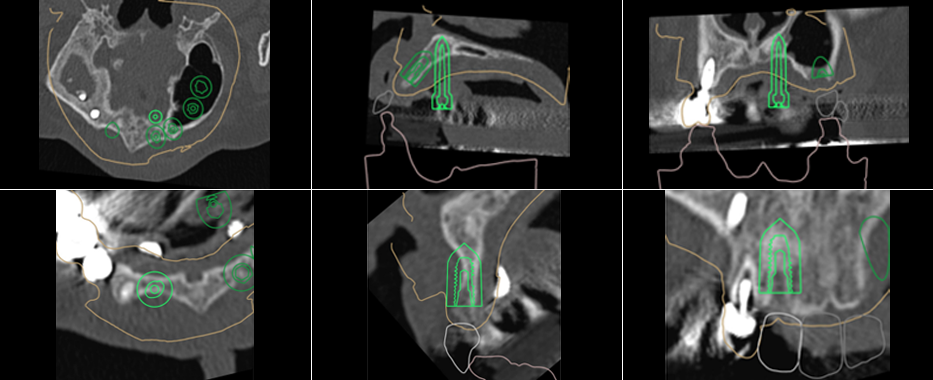
3D CT를 통한 정밀 진단


3D-CT를 통해 다각도로 진단하여 환자의 골조직, 주변 치아의 위치, 신경 위치 등의 해부학적 요인들을 정확히 파악합니다.


의료진과 맞춤 수술상담


정밀진단을 바탕으로 환자 맞춤 치료계획을 수립합니다.


컴퓨터'모의수술'수행


3D-CT의 정보와 상담한 내용을 바탕으로 최적의 임플란트 식립 위치를 계획합니다.


맞춤형 가이드에 따른 비절개 또는 최소절개 시술


개인 맞춤형 가이드를 이용해 잇몸을 최소한으로 절개하고 정확한 위치에 임플란트 식립


이런 분들께 추천드려요.

  •  

    바쁜 일상생활롤 빠른 시술을 원하시는 분

  •  

    당뇨나 골다공증 등 정신질환을 앓고 있는 분

  •  

    다수의 치아를 상실했거나 노년층 환자분

  •  

    치과 공포증이 있으신 분



진료시간 안



평일
오전 9:30 ~ 오후 8:00
점심시간 13:00 ~ 13:30

주말
공휴일
오전 9:00 ~ 오후 3:30
점심시간 없이 진료합니다.

진료과목


임플란트  사랑니 발치  신경치료

턱관절 질환  보험틀니  심미보철





더 자세한 정보나 궁금한 점이 있으신가요?


문의하시면 친절하게 답변드리겠습니다.


tel. 061-746-2828





오시는 길


전라남도 순천시 덕암동 161-1, MJ빌딩 8층


주차장

 

본 건물 지하 주차장 및 이마트 주차장 무료 이용 가능합니다.


[ KTX 순천역에서 오실 경우 ]

이마트 방향으로 도보 약 10분


[ 버스를 이용하여 오실 경우 ] 

시내권 경유버스: 14, 26, 32, 52, 53, 71, 89번

광역권 경유버스: 21, 22, 23, 24, 25, 68, 91, 92, 94, 95, 96, 97, 98, 777번

'이마트' 정류장에서 하차하시면 바로 앞에 있습니다.




365서울탑플란트치과

--

TEL :  061-746-2828

주소 : 전라남도 순천시 덕암동 161-1, MJ빌딩 8층

상호 : 365서울탑플란트치과의원

대표자 : 이한빈

사업자번호 : 674-04-02812

@ COPYRIGHT 2024 365SEOULTOPPLANTDENTAL. All rights reserved.